Главная / Происшествия / Юноше прострелили грудь из самодельного пистолета

Юноше прострелили грудь из самодельного пистолета

17 апреля 2016 - 10:11

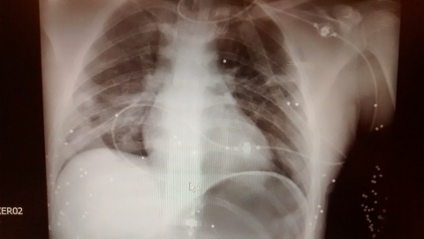
Вчера, 16 апреля, в 17:30 в Балакове в больницу доставили 24-летнего парня с огнестрельным ранением груди, сообщает пресс-служба ГУ МВД России по Саратовской области.

Раненого забрали от подъезда №4 дома №45 по Саратовскому шоссе. В городской больнице врачи диагностировали проникающее огнестрельное ранение грудной клетки с повреждением легкого. 

По подозрению в совершении преступления силами ОУР и ОВО схвачен 29-летний прежде не судимый мужчина. Он признался, что поссорился с потерпевшим и выстрелил в него из самодельного стреляющего устройства "поджига", а оружие на улице 30 лет Победы выбросил в канал. Стреляющее устройство подозреваемый сделал своими руками. Решается вопрос о возбуждении уголовного дела и избрании меры пресечения.

Метки: ПТВЗ

Последние новости
14 мая 2026
13 мая 2026