Главная / Происшествия / В Энгельсе девочка проглотила острый шуруп

В Энгельсе девочка проглотила острый шуруп

01 мая 2024 - 12:00

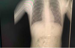
В Энгельсе 5-летняя девочка проглотила магнит с шурупом. Об этом сообщает в своем телеграм-канале министр здравоохранения Саратовской области Олег Костин.

Ребенка доставили в 1-ю городскую клиническую больницу, где врачи с помощью эндоскопического зажима «сачок» за три минуты извлекли инородное тело.

От магнита и острого шурупа в желудке у несовершеннолетней образовались геморрагические эрозии. Поэтому в данный момент ребенок продолжает лечение в больнице.

Последние новости
06 мая 2026