Политика
Экономика
Криминал
Общество
Происшествия
Культура
Спорт
Пресс-центр
Авто
Новости партнеров
Издания
Колумнисты
Фото
Видео
С
0
ветер 0 м/c
Пятница
08.05.2026
20:20
О проекте
Пресс-центр
На улицах Саратова
Издания
Колумнисты
Конференции
Фото
Видео
Спорт
Обратная связь
Реклама
Политика
Экономика
Криминал
Общество
Происшествия
Культура
Авто
Спецпроект
Политика
Экономика
Криминал
Общество
Происшествия
Культура
Авто
Новости партнеров
Спецпроект
туберкулез
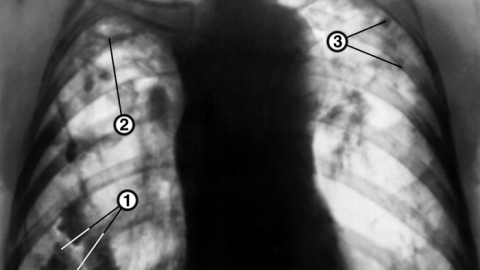
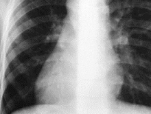
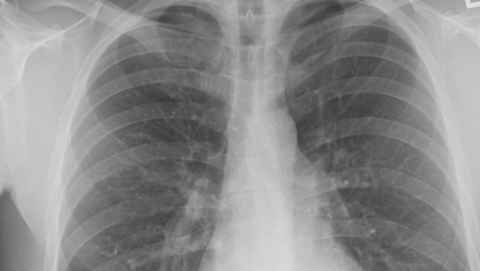
Флюорография раз в год: что нужно знать каждому саратовцу для защиты от туберкулеза
24 марта 2026 - 10:06
В Саратове подвели итоги борьбы с туберкулёзом: заболеваемость снизилась на 16%
19 марта 2026 - 17:33
Глисты, туберкулез, орнитоз – саратовцев предупредили об опасности песочниц
18 июля 2025 - 10:35
Под Саратовом приставы принудили заразную женщину лечь в больницу
21 июня 2024 - 14:46
В Энгельсе принудительно госпитализировали больную туберкулезом
01 февраля 2023 - 10:29
Фтизиатр назвала три группы риска по туберкулезу
23 марта 2020 - 16:29
20 процентов больных туберкулезом являются ВИЧ-инфицированными
Саратовцы стремительно перестают заболевать туберкулезом
23 марта 2020 - 15:48
Показатели эффективности лечения в области выше общероссийских на 5-10 процентов
Боксер избил до смерти пациента в туберкулезной больнице
27 декабря 2019 - 17:16
Сам спортсмен лечился там же
Приставы принудительно положили туберкулезника в больницу
10 июня 2019 - 16:32
Мужчина пытался справиться с болезнью народными средствами
В пресс-центре "МК" в Саратове" расскажут о защите от туберкулеза
21 марта 2016 - 16:06
22 марта в 12.00 в пресс-центре "МК" в Саратове" состоится заседание "круглого стола"
Из-за больной туберкулезом уборщицы 84 школьника отправились обследоваться
28 мая 2015 - 14:38
Администрация Балаковского района Саратовской области распространила официальный комментарий
Больной туберкулезом распространял заразу среди турковцев
23 сентября 2014 - 09:20
Прокуратура Турковского района выявила гражданина, уклонявшегося от амбулаторного лечения туберкулеза, сообщает пресс-служба надзорного органа Саратовской области
В Вольске ищут продавца-гастарбайтера, больного туберкулезом
18 августа 2014 - 15:00
Выходец из ближнего зарубежья, что называется, "работал с людьми" - торговал на несанкционированном рынке.
В 2013 году в Саратовской области выявлено 1250 больных туберкулезом
13 марта 2014 - 14:30
На территории Саратовской области в 2013 году было зарегистрировано около 1250 вновь выявленных больных туберкулезом,
Больного туберкулезом насильно поместили в больницу
01 октября 2013 - 10:50
В течение полугода гражданин отказывался от лечения и не посещал врача
На рынке "Навашино" зафиксирован факт продажи зараженного мяса
26 февраля 2013 - 12:51
По ее словам, снаружи легкое имело свежий вид и не вызывало подозрений
Журбин предложил перенести туберкулезный диспансер из Саратова
26 ноября 2012 - 14:40
По мнению общественника, лечебница представляет реальную угрозу горожанам
Врачей к работе с туберкулезными больными привлекут зарплатой в тысячу долларов
26 октября 2012 - 10:45
Проблема туберкулеза имеет большое значение для Саратовской области, обратила внимание участников публичных слушаний
Фото
16 июля 2024
Конкурс профессионального мастерства работников «Саратовмелиоводхоза»
11 июня 2024
Петровская больница
23 апреля 2024
Ветеринары
МК в Саратове
07 мая
Поезд Победы точно по расписанию
06 мая
Помочь и поддержать
06 мая
ЗАПАСИТЕЛЬНАЯ ТЕРАПИЯ
23 июня
Аппетитный Федеральный водный объект или как за счёт федеральной реки Волги захотели обогатиться.
18 декабря
Пароль успеха: ставка на молодых
30 мая
Путь капли: как вода из реки становится питьевой
новости партнеров
Wink представил первый тизер детектива «После Фишера. Инквизитор»
А за окошком месяц май: Wink представляет премьеры последнего месяца весны
«Нейрошлюз» дает доступ к возможностям ИИ
Больше новостей
федеральные новости
30.05
30.05
30.05
30.05
30.05
30.05
ôîòî
Конкурс профессионального мастерства работников «Саратовмелиоводхоза»
âèäåî
РАЗВИВАЯ СЕЛЬСКИЕ ТЕРРИТОРИИ
подписка
МК Саратов
"Бульвар"
Январь
Февраль
Март
Апрель
Май
Июнь
Июль
Август
Сентябрь
Октябрь
Ноябрь
Декабрь
Мы в соцсетях
Твиты пользователя @Saratovnews